Smile Gallery

Creating Healthy and Beautiful Smiles
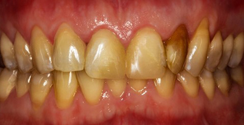
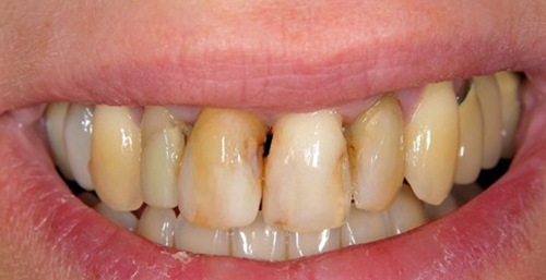
BEFORE
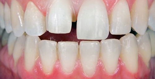
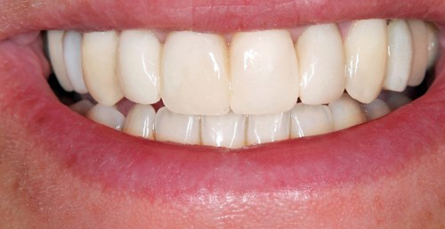
AFTER
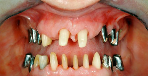
BEFORE
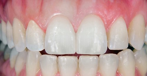
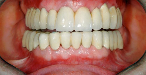
AFTER
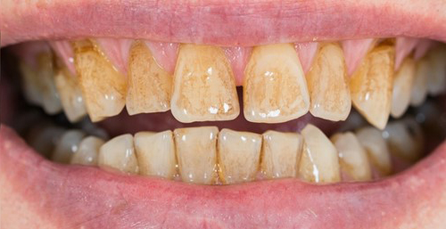
BEFORE
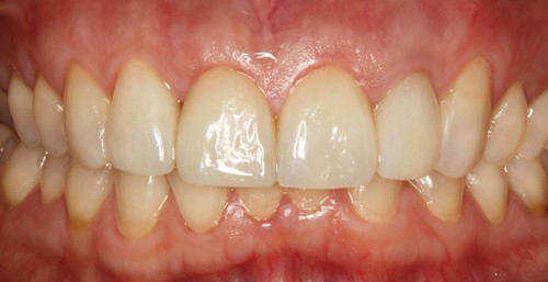
AFTER
BEFORE
AFTER
BEFORE
AFTER
BEFORE
AFTER
Scroll to Top